Аннотация
Ассоциативная связь неходжкинских лимфом и вирусного гепатита С хорошо известна и многократно описана. В свою очередь, этиотропная терапия способствует вирусологическому и гематологическому ответу большинства неходжкинских лимфом, связанных с ВГС.
В последние годы противовирусные препараты прямого действия сделали возможным проведение лечения для большинства пациентов с ВГС. Недавно были высказаны некоторые опасения в отношении частоты и характера рецидивов ГЦК среди пациентов получавших данную группу препаратов.
Мы представляем описание клинического случая диффузной крупноклеточной В-клеточной лимфомы (ДККЛ) в стадии ремиссии после соответствующего лечения, на фоне вирусного гепатита С с исходом в цирроз печени, который был вылечен с помощью новых противовирусных препаратов прямого действия. Однако, вскоре после достижения УВО, произошел рецидив лимфомы, приведший к летальному исходу.
Врачи отмечают, что агрессивный рецидив после лечения гепатита С представляет собой серьезную проблему, требующую внимательного подхода. Несмотря на высокую эффективность современных противовирусных препаратов, некоторые пациенты сталкиваются с повторным развитием болезни. Специалисты подчеркивают, что факторы, способствующие рецидиву, могут включать генетическую предрасположенность, сопутствующие заболевания и несоблюдение рекомендаций по лечению. Важно, чтобы пациенты проходили регулярные обследования и следили за состоянием печени даже после завершения терапии. Врачи призывают к индивидуальному подходу в лечении и мониторинге, чтобы минимизировать риск рецидива и обеспечить долгосрочную ремиссию.

Введение
Связь между вирусом гепатита С (ВГС) и неходжкинской лимфомой (НХЛ) является распространенной, особенно отметим лимфому маргинальной зоны, диффузную крупноклеточную лимфому (ДККЛ) и в меньшей степени фолликулярную лимфому. Лимфомагенез ВГС представляет собой многофакторную модель злокачественной трансформации, включающую несколько механизмов, включая хроническую антигенную стимуляцию, взаимодействие с инфицированным микроокружением и воспалительными цитокинами, а также прямую трансформацию вирусными белками.
Среди ВГС-ассоциированных агрессивных НХЛ, ДККЛ является наиболее часто встречаемой во врачебной практике. Золотым стандартом и первой линией терапии является иммунохимиотерапия R-CHOP (ритуксимаб, циклофосфамид, доксорубицин, винкристин, преднизон). С целью устранения одного из триггеров развития лимфомы и потенциального снижения риска рецидива, следует уделить внимание противовирусной терапии как в комбинации, так и после завершения иммунохимиотерапии.
Недавно проведенное большое когортное исследование показало, что устойчивый вирусологический ответ (УВО) после противовирусного лечения снижает риск рецидива B-клеточной НХЛ по сравнению с группой пациентов не принимавших лечение, направленное против ВГС.
История болезни
Мы представляем клинический случай — 57-летнего мужчину направленного на лечение хронического гепатита С (ВГС), с В-клеточной НХЛ в анамнезе. У данного пациента была диагностирована ДККЛ (стадия IIA, по классификации Ann Arbor) после биопсии надключичного лимфатического узла, которая показала инфильтрацию злокачественными клетками CD20, CD10, Bcl-6 (40%), MUM1 (30%), положительной экспрессией Bcl-2 и отрицательной D1, CD5, CD23, CD3. Ki-67 был положительным на 50%. Пациенту провели 6 циклов R-CHOP и достигли полного ответа, подтвержденного КТ всего тела и результатами биопсии костного мозга.
Через восемнадцать месяцев после завершения химиотерапии пациент был направлен в гепатологическое отделение для лечения гепатита С. Клиническое исследование показало незначительное повышение уровня аминотрансфераз (АСТ 46, АЛТ 66), вирусная нагрузка была высокой (ВГС-РНК 1.600.000 МЕ/мл) и выявлен 3a генотип, эластичность печени (оцененная с помощью Fibroscan®) показывала значение 17,6 кПа, что соответствовало циррозу (Child A/5, MELD 8).
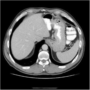
Проведенная эндоскопия показала небольшое варикозное расширение вен пищевода, тогда как визуализация печени (КТ брюшной полости) отсутствие любых видов очагового поражения или асцита (рис. 1).
На тот момент пациенту проводили лечение в соответствии с рекомендациями Европейской ассоциации по исследованию печени (EASL) c применением противовирусных препаратов прямого действия (ПППД): софосбувир 400 мг и велпатасвир 100 мг в сочетании с рибавирином длительностью 12 недель. Лечение проходило без каких-либо осложнений. Спустя три месяца после окончания лечения было зафиксировано достижение УВО.
Спустя два месяца после достижения УВО, и, несмотря на то, что неоднократно документировалась полная ремиссия ДККЛ (ПЭТ КТ, гематологические показатели), в течение двух последующих лет наблюдения, пациент поступил в стационар с отчетливой болью в правом верхнем квадранте и ухудшением функций печени.
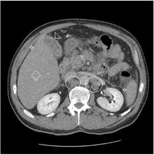
Визуально отмечалась желтизна кожных покровов и склер. КТ показала генерализованную лимфаденопатию, аномальное утолщение конечной подвздошной кишки, гепатоспленомегалию с выраженным асцитом (рис. 2).
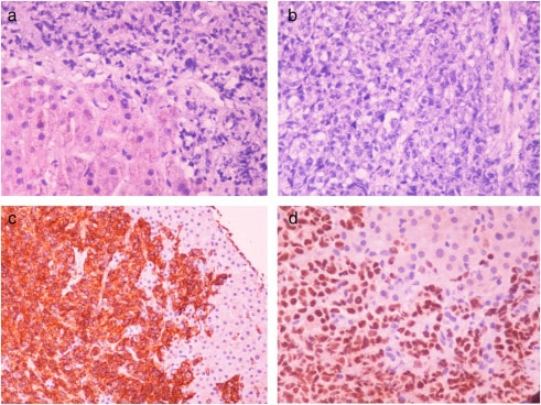
Пункционная биопсия печени показала (рис. 3) обширную инфильтрацию ДККЛ в паренхиму печени (этап IV Энн Арбор при рецидиве, IPS: высокий, R-IPS: низкий). На момент исследования профиль ДККЛ был таким же, как и при первичном обращении (CD20+, PAX-5+, CD3-, CD30-). Летальный исход пациента был обусловлен развитием печеночной недостаточности незадолго до получения химиотерапии.
Агрессивный рецидив после лечения гепатита С вызывает множество обсуждений среди пациентов и специалистов. Многие люди, прошедшие курс терапии, делятся своими переживаниями и страхами, связанными с возможностью возвращения болезни. Некоторые отмечают, что несмотря на успешное лечение, они продолжают испытывать тревогу и сомнения в стабильности своего состояния. В социальных сетях и форумах можно встретить истории о том, как рецидив стал неожиданным ударом, заставившим пересмотреть образ жизни и подход к здоровью.
Медицинские эксперты подчеркивают важность регулярного мониторинга и соблюдения рекомендаций врачей, чтобы минимизировать риск рецидива. Однако, несмотря на достижения медицины, страх перед возвращением болезни остается актуальным. Пациенты делятся опытом, как поддержка близких и общение с теми, кто прошел через подобное, помогают справиться с эмоциональными трудностями. Важно помнить, что каждый случай индивидуален, и открытое обсуждение проблем может стать первым шагом к преодолению страха и восстановлению уверенности в будущем.

Обсуждение
В-клеточная НХЛ тесно связана с ВГС который является триггером хронической антигенной стимуляции. Проводимое этиотропное лечение может привести к вирусологическому и гематологическому ответу у двух третей пациентов с НХЛ, связанных с ВГС.
В мета-анализе 20 исследований, частота ответа при противовирусном лечении составила 73%, при этом, была выявлена сильная корреляция между достижением УВО и лимфомной реакцией. Сообщается, что использование в лечении ПППД снижает частоту возникновения злокачественных В-клеток в периферической крови пациентов, страдающих лимфопролиферативными нарушениями связанными с ВГС, однако моноклональные популяции могут сохраняться после эрадикации вируса.
На данный момент в современной литературе много споров о возможности возникновения рецидива гепатоцеллюлярной карциномы (ГЦК) после применения ПППД в группе пациентов с ВГС и ГЦК. Ряд клинических случаев показал неожиданно высокую частоту и агрессивную картину рецидива ГЦК в данной группе. Тем не менее, недавний систематический обзор и мета-анализ не обнаружили никаких доказательств того, что возникновение или рецидив ГЦК различаются между противовирусным лечением на основе интерферона (ИНФ) или ПППД.
Существует очень мало данных о рецидивах НХЛ после успешной противовирусной терапии ВГС среди пациентов с НХЛ. Недавнее исследование сообщило о возникновении НХЛ после достижения УВО у двух пациентов, получавших софосбувир и ледипасвир без гематологических заболеваний в анамнезе.
В аналогичной работе сообщалось о развитии высокоагрессивной лимфомы мантийной зоны спустя месяц после завершения лечения софосбувиром и рибавирином. В другой серии сообщалось о пяти случаях B-клеточных НХЛ после лечения ПППД, причем все пациенты, кроме одного, достигали не только УВО, но и полной ремиссии НХЛ.
Совсем недавно описание аналогичного случая опубликовали в Японии, в котором пациент проходивший лечение от ДККЛ, имел рецидив с летальным исходом спустя 7 лет после лечения лимфомы: пациент получал софосбувир и ледипасвир, при этом, сразу после достижения УВО, был зафиксирован рецидив агрессивной формы лимфомы.
Механизм возникновения рецидива ГЦК среди пациентов проходившим лечение ПППД пока неясен. Было выдвинуто предположение, что подобные схемы лечения восстанавливают количество и функции ряда иммунных клеток, таких как вирус-специфические CD8+, Т- и NK-клетки.
Кроме того, отсутствие постоянной стимуляции со стороны интерферона после элиминации вируса также может оказывать значительное влияние на внутрипеченочные иммунные реакции. Возможно, именно эти изменения внутрипеченочного иммунологического баланса были связаны с возникновением агрессивного рецидива ГЦК.
Восстановление опосредованного Т-клетками и В-клетками иммунного статуса благодаря эрадикации ВГС может привести к нарушению регуляции иммунного ответа, являясь фактором способствующим дополнительной клональной эволюции НХЛ.
Более того, есть подозрение, что ПППД может иметь более низкую антилимфомную активность, чем ИНФ, так как процент пациентов с прогрессом заболевания или гематологическим рецидивом, несмотря на достижение УВО гораздо выше, чем в случае применения ИНФ, который действует как иммунологический модулятор. Другим объяснением возможного снижения эффективности ПППД при ВГС-ассоциированных лимфомах является отсутствие у данной группы препаратов антипролиферативной активности.
В случаях ВГС-положительной
ДККЛ была описана решающая роль дисрегуляции сети микроРНК, с последующим
подавлением микроРНК-26b (miR-26b) которая напрямую участвует в ослаблении
совокупности процессов подавления опухоли. Недавнее исследование показало
обратную корреляцию вирусной нагрузки ВГС с экспрессией miR-26b в
мононуклеарных клетках периферической крови среди пациентов с ВГС-НХЛ, что было
предложено в качестве потенциального биомаркера для прогнозирования реакции
лимфомы в данной группы пациентов.
Источники:
- «Aggressive recurrence of Non Hodgkin’s Lymphoma after successful clearance of hepatitis C virus with direct acting antivirals»
Коллектив авторов:
- Dimitrios N. Samonakis, Maria Psyllaki et all.
Вопрос-ответ

Почему гепатит С возвращается после лечения?
Возможен ли рецидив гепатита после лечения? К сожалению, утвердительный. Рецидив гепатита свидетельствует о том, что сразу после лечения вирус HCV на какое-то время «спрятался» в гепатоцитах и В-лимфоцитах и затем в результате действия той или иной причины вновь стал активно размножаться.
Может ли гепатит С рецидивировать после лечения?
Возможно, хотя и редко, повторное появление гепатита С после, казалось бы, успешного лечения. Рецидивы обычно происходят в первые несколько месяцев после анализа крови, подтверждающего отсутствие вируса. Однако иногда рецидив становится очевидным гораздо позже.
Советы
СОВЕТ №1
Регулярно проходите медицинские обследования. После лечения гепатита С важно регулярно проверять состояние печени и уровень вируса в крови. Это поможет вовремя выявить возможные рецидивы и начать лечение на ранней стадии.
СОВЕТ №2
Следите за своим образом жизни. Здоровое питание, отказ от алкоголя и регулярные физические нагрузки способствуют восстановлению печени и укреплению иммунной системы, что может снизить риск рецидива.
СОВЕТ №3
Обсуждайте свои опасения с врачом. Если у вас есть вопросы или беспокойства по поводу возможного рецидива, не стесняйтесь обсуждать их с вашим лечащим врачом. Он сможет дать вам рекомендации и поддержать вас в этом процессе.
СОВЕТ №4
Поддерживайте эмоциональное здоровье. Стресс и тревога могут негативно влиять на общее состояние здоровья. Рассмотрите возможность занятий йогой, медитацией или другими методами релаксации, чтобы поддерживать психоэмоциональное равновесие.



