Содержание
Цирроз печени (ЦП) – диффузный процесс, характеризующийся фиброзом и
трансформацией нормальной структуры печени с образованием узлов. ЦП представляет
финальную стадию большинства хронических диффузных заболеваний печени. Естественное
течение характеризуется бессимптомно (компенсированный).
Сменяется повышением давления в портальной системе и ухудшением функции печени.
Состояние приводит к клинической картине в виде осложнений цирроза (декомпенсация). При компенсированном циррозе хорошее качество жизни,
заболевание может протекать скрыто в течение нескольких лет. Декомпенсированный проявляется развитием выраженных симптомов, к наиболее важным относятся
следующие:
- Кровотечение из варикозных вен пищевода и желудка (ВВПиЖ)
- Асцит (с инфицированием или без инфицирования асцитической жидкости)
- Печеночная энцефалопатия (ПЭ)
- Острое повреждение почек (ОПП) и гепаторенальный синдром (ГРС)
- Легочные осложнения (печеночный гидроторакс, гепатопульмональный синдром
(ГПС), портопульмональная гипертензия (ППГ)) - Цирротическая кардиомиопатия и вторичная надпочечниковая недостаточность
- Инфекционные осложнения (спонтанный бактериальный перитонит (СБП), мочевая
инфекция, пневмония, инфекции мягких тканей и бактериемия)
Причинами развития ЦП являются вирусные гепатиты (В, С, D), алкоголь, метаболические
нарушения (неалкогольный стеатогеатит, наследственный гемохроматоз, болезнь Вильсона,
недостаточность α1-антитрипсина, муковисцидоз, галактоземия, гликогенозы, наследственная
тирозинемия, наследственная непереносимость фруктозы, наследственная геморрагическая
телеангиоэктазия, абеталипопротеинемия, порфирия), заболевания желчных путей
(внепеченочная обструкция желчных путей, внутрипеченочная обструкция желчных путей.
Прогноз жизни пациентов с ЦП во многом зависит от развития его осложнений.
Диагностика:
-
Функциональные пробы печени, коагуляционные тесты, общий анализ крови (ОАК) и серологические тесты на вирусы.
-
Стандартные методы визуализации печени: УЗИ, КТ, МРТ.
-
Неинвазивная оценка фиброза с помощью методов визуализации: транзиторная эластография, акустическая лучевая импульсная визуализация, двухмерная поперечно-волновая эластография, магнитно-резонансная эластография +/- протонная плотность жировой фракции.
-
Установка причины на основании данных клинической оценки, проведение регулярных обследований на распространенные причины.
-
Иногда биопсия (например, когда клинические и неинвазивные исследования неинформативны, или когда результаты биопсии могут изменить подход к лечению).
Фиброз печени.
Фиброз печени (ФП) – разрастание и уплотнение соединительной ткани. Процесс является ответом на воздействие: токсины, неумеренные дозы алкоголя; инфекции различной этиологии, включая вирусный гепатит; бесконтрольный прием лекарственных препаратов. В таких случаях происходит некроз, дистрофия тканей органа. Без диагностики, течение заболевания может привести к циррозу.
Болезнь в начальной степени имеет бессимптомный процесс, из-за защитных свойств организма – поддержать полноценную деятельность структуры пораженного органа. Все действия направлены на восстановительный процесс клеток и устранение возникших рубцов. Хроническое повреждение нарушает процесс регенерации, орган быстро разрушается и не успевает восстанавливаться.
ФП возможен при всех диффузных проявлениях, с хроническим течением. Определить период фиброза – важный критерий для назначения терапевтического лечения. У последствий три типа:
- Выброс из приносящих сосудов в печеночные вены приводит к движению крови мимо печеночных клеток. При этом печень не в состоянии выполнять свои основные функции;
- Хроническая болезнь в прогрессировании в направлении к нарушению клеточного метаболизма ведет к циррозу печени. Уменьшается эффективность терапевтических мероприятий;
- Благополучно проведенная терапия с ликвидацией воздействия возбудителя (вирусы гепатита различного вида), алкоголь может привести к регрессу фиброза.
Важной частью распознавания фиброза является сбор анамнеза, который проводится врачом-гастроэнтерологом, гепатологом. Назначается биохимический анализ крови и мочи. При наличии признаков патологии специалист может порекомендовать пройти обследования:
- УЗИ органов брюшной полости;
- эластометрия/эластография;
- МРТ;
- пункционная биопсия.
Наиболее точными процедурами являются биопсия, эластометрия и эластография сдвиговой волной. Биопсия – инвазивный метод, заключающийся в изучении взятого фрагмента ткани. Из значительных минусов: необходимость прокола и ограниченность исследования участком взятого образца. Эластометрия и эластография относятся к неинвазивным процедурам и дают более полную картину состояния печени.
Эластография сдвиговой волной – инновационный метод диагностики фиброза печени. Он позволяет получить точные данные о границах пораженных участков и степени фиброзных изменений всего органа. В отличие от эластометрии, информативность методики не зависит от массы тела и конституции. Из минусов – эластография сдвиговой волной доступна лишь в некоторых клиниках.
Врачи отмечают, что фиброз печени и гепатит С часто идут рука об руку, создавая серьезные проблемы для здоровья. Симптомы этих заболеваний могут быть неочевидными на ранних стадиях, что затрудняет их диагностику. Пациенты могут испытывать усталость, слабость, боли в правом подреберье и потерю аппетита. В некоторых случаях наблюдаются изменения в цвете кожи и глаз, что может указывать на желтуху. Врачи подчеркивают важность регулярных обследований, особенно для людей с факторами риска, такими как употребление наркотиков или незащищенные половые контакты. Ранняя диагностика и лечение могут значительно улучшить прогноз и качество жизни пациентов.

Кто в группе риска?
Заболевание не появляется без причины. За любой патологией стоят негативные факторы, влияющие на состояние внутренних органов. В случае фиброза печени это:
- Плохая наследственность, врожденные дисфункции тканей печени.
- Массовая гибель гепатоцитов при вирусных или бактериальных гепатитах.
- Аутоиммунные заболевания, при которых иммунитет начинает атаковать ткани печени и других внутренних органов.
- Заражение вирусом Эпштейн-Барра или цитомегаловирусная инфекция.
- Злоупотребление спиртными напитками и табакокурением.
- Нарушение углеводного или жирового обмена.
В редких случаях изменения в печеночной паренхиме происходят при длительной терапии гепатотоксичными препаратами – антибиотиками, нестероидными анальгетиками.
Как связаны диагноз гепатит с и фиброз?
Распространение вирусных гепатитов оказывает негативное воздействие на здоровье. Столкнувшийся с гепатитом, долгое время не замечает изменений и оказывается наедине с “ласковым убийцей”. При гепатите В и С фиброз развивается быстрее.
Гепатит С – «спусковой механизм», так как вирус разрушает печеночные клетки у инфицированного, и, чтобы залатать «бреши», организм продуцирует соединительную ткань.
На 1, 2 или 3 стадии человек не видит сигналов, не чувствует, что что-то не так. Это не инфекция, а внутренний вялотекущий процесс. К тому же, железа лишена нервных рецепторов, поэтому патологические изменения не приводят к болевым ощущениям. Проявления начинаются, когда возникает нарушение в работе печени или возникает портальная гипертензия (переход фиброза в цирроз).
Срок может быть от нескольких месяцев до нескольких лет. Это зависит от вирусной нагрузки, сопутствующих заболеваний, образа жизни. Но с усугублением процесса и при наличии гепатита С скорость его перехода к становится выше.
Фиброз печени и гепатит С — серьезные заболевания, о которых многие говорят с опасением. Люди, столкнувшиеся с этими проблемами, часто описывают симптомы как мучительные и изнуряющие. Усталость, слабость, боли в правом подреберье — это лишь некоторые из проявлений. Многие отмечают, что на начальных стадиях болезнь может протекать бессимптомно, что усложняет диагностику. Важно, что пациенты делятся опытом о необходимости регулярных обследований и анализов, чтобы не упустить момент начала лечения. Некоторые рассказывают о том, как изменили образ жизни: стали больше заботиться о питании и избегать алкоголя. Обсуждения на форумах показывают, что поддержка близких и общение с другими пациентами помогают справляться с психологическим бременем. В целом, люди осознают важность информированности и ранней диагностики для успешного лечения.

Симптомы

- Вялое состояние, слабость, апатия.
- Признаки желтухи – желтые склеры глаз, слизистые оболочки, кожа.
- Снижение работоспособность, сонливость.
- Недостаток красных кровяных телец в крови.
- Ослабление иммунного ответа на влияние внешней среды.
- Кровотечения из носа, кишечника, вен пищевода.
- На теле возникают небольшие гематомы или сосудистые звездочки.
- Асцит: в брюшной полости накапливается большое количество личной жидкости.
- Отеки лица, конечностей.
- Болевые ощущения в области правого подреберья, возникающие по причине давления увеличенной печени на другие органы.
Какие анализы нужны?
При диагностике фиброза печени врач уделит внимание анамнезу – описанию больным симптомов заболевания. Если симптоматические признаки проявились явно, состояние пациента оценивается как средне тяжелое. Развитие и лечение зависит стадии и общего здоровья.
Проводятся комплексные меры по обнаружению очагов. При подозрении на фиброз врач в первую очередь должен выявить:
- Характер и разрушение.
- Причину заболевания для назначения грамотной терапии.
Полную диагностику и лечение фиброза можно получить в следующих клиниках:
|
Название |
Телефон |
Диапазон цен |
|
SM-Клиника Санкт-Петербург |
+7 (812) 435 55 55 |
От 1500 рублей за анализ крови, прайс составляется индивидуально. |
|
Клиника К+31 Москва |
+7 495 204 2313 |
Годовое обслуживание взрослого — от 65 000 рублей. |
|
Клиника Южно-Уральского Медицинского Университета Челябинск |
8-351-728-72-02 |
Обследование на аппарате фиброскан и анализы от 3 000 рублей, прайс рассчитывается индивидуально. |
|
“Новейшая Медицина” Москва |
+7 (495) 665-08-08 |
Стоимость определяется после консультации со специалистом. |
Диагностика начинается с оценки общей клинической картины, сбора жалоб и анамнеза, осмотра (перкуссия печени). Затем назначаются лабораторные и инструментальные исследования портальных трактов железы, объем необходимых анализов определяет врач, но обычно в них входят следующие:
- Анализ крови – общий + биохимия. При подозрении, что причина фиброза – гепатит С, сдаются анализы на определение вирусной нагрузки (ПЦР) и присутствие антител к вирусу.
- УЗИ, компьютерная томография – помогают определить размеры, форму печени и наличие узлов.
- Биопсия – помогает определить степень фиброза, однако это метод является инвазивным и не всем можно его проводить.
Хорошей альтернативой является эластометрия или фибросканирование. Метод безопасен с диагнозом ВГС и позволяет установить степень фиброза, определить, есть ли опухолевый процесс или цирроз. Ниже расскажем об этом подробнее:

Как прогрессирует фиброз?
Если обнаружен гепатит С, обязательно определять степень фиброза. Для этого используют эластометрию (фиброскан). Ультразвуковое исследование измеряет плотность в килоПаскалях. В зависимости от полученных значений определяется степень фиброза по шкале МЕТАВИР:
- F 0 — печень здорова, менее 5,5 кПа.
- F 1 — 5,8-7 кПа. 1 степень фиброза печени при гепатите С похож на воспалительный процесс, проходящий в селезенке, рубцов не так много, анализы показывают пониженное содержание эритроцитов.
- F 2 — 7,2-9 кПа. 2 степень при гепатите С захватывает более обширные области и сильнее замещает гепатоциты.
- F 3 — 9,5-12 кПа. 3 степень характеризуется значительными объемами соединительной ткани.
- F 4 — более 12,5 кПа. На этом этапе фиброз переходит в цирроз. Без лечения переход от 3 к 4 стадии происходит очень быстро в течение нескольких месяцев. 4 степень при гепатите С может сопровождаться портальной гипертензией, с осложнением в виде кровотечения из расширенных вен пищевода. Такие осложнения могут привести к летальному исходу.
На первой наблюдается незначительное разрастание фиброзной ткани вокруг клеток печени и желчных путей.
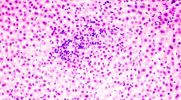
Для второй степени характерно формирование фиброзных перегородок между клетками. Изменения в паренхиме органа, характерные для данного периода, представлены на изображении (фиброзные ткани белого цвета):
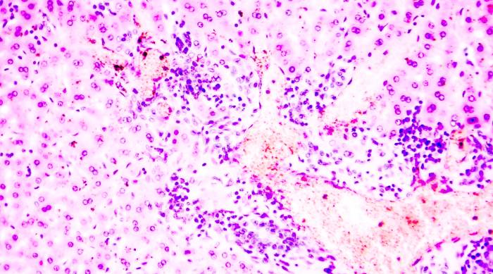
В период третьей заболевания наблюдаются фибротические формирования в кровеносных сосудах железы и желчных протоках. На терминальном этапе, при переходе в форму цирроза, ткани сильно деформируется. Выявляются явные изменения в ее структуре. Видоизмененная паренхима печени выглядит так:
Основные сигналы появляются тогда, когда болезнь затягивает кровеносные сосуды и желчные протоки поврежденной печени.
Проходит ли фиброз после лечения ВГС?
Система лечения будет зависеть от болезни и того, какие факторы привели к его развитию. В первую очередь следует избавиться от причины. Рассмотрим случай, если фибротические изменения появились на фоне ВГС.
Первое, что необходимо сделать – это начать терапию гепатита, так как при наличии ВГС железа испытывает двойную нагрузку.
Самая эффективная терапия от гепатита С основана на комбинированных схемах приема прямых противовирусных препаратов, где главным действующим веществом выступает Софосбувир. Это позволяет полностью избавиться от присутствия вируса в организме. После противовирусной терапии возможно уменьшить стадию фиброза вплоть до полного восстановления.
При соблюдении рекомендаций гепатолога и терапии гепатита С эффективными препаратами прямого противовирусного действия, прогноз практически всегда благоприятный. Минимальный курс гепатопротекторов составляет три месяца.
Жизнь после обнаруженного фиброза печени
При 1, 2 и 3 больной может прожить достаточно долго, при ранней диагностике и лечении. Придется придерживаться строгой диеты, избегать приема гепатотоксичных веществ. Об алкогольных напитках и табачной продукции придется забыть навсегда.
Но сколько живут люди при данной болезни на 4? Прогнозы зависят от скорости развития цирроза. Данная патология делится на три:
- При компенсированном фиброзе печени форме, можно откатить до фиброза. Состояние пациента стабильное, процент 10-летней выживаемости выше 70%.
- Субкомпенсированная, или переходная стадия, относительно обратима. Но при ней уже высок риск тяжелой интоксикации и печеночной недостаточности. Выживаемость в течение 5 лет — 50%.
- Декомпенсированный цирроз является терминальным. Пораженно более 75% процентов печени, в любой момент может наступить печеночная кома и смерть. В ряде случаев, спасает операция по трансплантации печени. Средняя выживаемость без хирургического вмешательства равна 2-5 годам.
При фиброзе печени важно учитывать следующие факторы:
| Полезно для печени | Вредно |
| Отказ от вредных привычек, особенно от алкоголя. | Сильные физические и эмоциональные нагрузки (стресс). |
| Соблюдение диеты №5 | Отказ от терапии гепатита С. |
| Применение гепатопротекторов на основе расторопши, урсодезоксихолевой кислоты. Эссенциальные фосфолипиды, витаминные и антиоксидантные комплексы оказывают хорошее поддерживающее действие. | Несоблюдение здорового образа жизни, прием алкоголя совместно с лекарственными средствами. Постоянное переедание, особенно блюд с повышенным содержанием жира, белка и соли. |
| Использование противовоспалительных лекарственных средств, глюкокортикостероидов и цистостатиков. | Несвоевременное лечение ЖКТ, пренебрежение профилактическими ежегодными осмотрами. |
| Снижение массы тела, сбалансированные физические упражнения (ЛФК), прогулки. | Самостоятельное назначение различных медикаментов, особенно гепатотоксичных. |
Если вы хотите узнать подробности о лечении, посетите инфекциониста лично или запишитесь на онлайн-консультацию гепатолога.
Вопрос-ответ
Как понять, что начался фиброз печени?
В начальной фазе признаки фиброза печени являются неопределенными и расплывчатыми: часто ощущается слабость, снижается работоспособность, появляется общее недомогание. С развитием болезни у пациента снижается аппетит, появляются боли в правой подреберной области, частая тошнота, отрыжка.
Что является главным симптомом хронического гепатита C?
Признаки и симптомы гепатита C: эмоциональная неустойчивость, раздражительность, нередко агрессивность, снижение и потеря аппетита, непереносимость жирной пищи, горечь во рту, тошнота, изжога, отрыжка горечью, головная боль и боль в суставах.
Чем отличается гепатит от фиброза?
Жировой гепатоз – результат обменных и гормональных нарушений, а также алкогольной болезни печени. Фиброз – результат разрушения печени, чаще всего вирусами гепатита В или С.
Как гепатит С влияет на печень?
Хронический гепатит С может вызывать воспаление и рубцевание ткани печени, которые могут привести к повреждению печени средней степени тяжести (фиброз) и тяжелому повреждению печени (цирроз). При циррозе значительно возрастает риск развития печеночной недостаточности, рака печени и даже смерти.
Советы
СОВЕТ №1
Регулярно проходите медицинские обследования. Если у вас есть риск заражения гепатитом С или вы уже страдаете от фиброза печени, важно регулярно проверять состояние печени и следить за изменениями в анализах.
СОВЕТ №2
Соблюдайте здоровую диету. Правильное питание может помочь поддерживать здоровье печени. Увеличьте потребление фруктов, овощей и цельнозерновых продуктов, а также уменьшите количество жиров и сахаров в рационе.
СОВЕТ №3
Избегайте алкоголя и токсичных веществ. Алкоголь и некоторые химические вещества могут усугубить состояние печени. Постарайтесь исключить или минимизировать их потребление, чтобы не ухудшить фиброз.
СОВЕТ №4
Обратитесь к специалисту. Если у вас есть симптомы, связанные с гепатитом С или фиброзом печени, не откладывайте визит к врачу. Раннее обращение за медицинской помощью может значительно улучшить прогноз и качество жизни.






